benshenmed(官方) 2020年08月20日
形态学 182
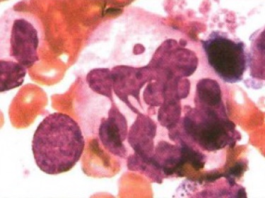
巨多分叶核中性粒细胞: 成熟中性粒细胞胞体增大,核分叶5~9叶,甚至10叶以上,各叶大小差异很大,核染色质疏松。常见于巨幼细胞性贫血、抗代谢药物治疗后及恶性血液病等。
上一篇 全屏 最小 下一篇
点赞:2 收藏:12 评论:0
上一篇 下一篇
检验速记关闭
全部91篇
全部176篇
全部174篇
全部165篇
全部72篇
全部69篇
全部1篇
全部8篇
APP下载