benshenmed(官方) 2020年08月20日
形态学 156
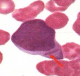
棒状小体(Auer小体): 白细胞胞质中出现的红色细杆状物质,1个或数个,长约1~6um,称为棒状小体。
棒状小体对鉴别急性白血病的类型有重要价值,主要见于急性粒细胞白血病(多见)和急性单核细胞白血病(少见),而急性淋巴细胞白血病则无。
上一篇 全屏 最小 下一篇
点赞:5 收藏:36 评论:0
上一篇 下一篇
检验速记关闭
全部91篇
全部176篇
全部174篇
全部165篇
全部72篇
全部69篇
全部1篇
全部8篇
APP下载