benshenmed(官方) 2020年08月20日
形态学 185
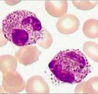
中毒颗粒:在严重感染及大面积烧伤等情况下,中性粒细胞的胞质中出现比正常中心颗粒粗大,大小不等,分布不均的紫黑色或深褐色颗粒。
上一篇 全屏 最小 下一篇
点赞:2 收藏:22 评论:0
上一篇 下一篇
检验速记关闭
全部91篇
全部176篇
全部174篇
全部165篇
全部72篇
全部69篇
全部1篇
全部8篇
APP下载