benshenmed(官方) 2020年08月20日
196
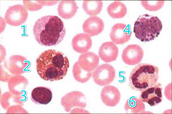
正常白细胞形态
1:单核细胞 2:嗜酸性粒细胞 3:淋巴细胞 4:嗜碱性粒细胞 5:中性粒细胞(杆状核)6:中性粒细胞(分叶核)
上一篇 全屏 最小 下一篇
点赞:5 收藏:38 评论:0
上一篇 下一篇
检验速记关闭
全部91篇
全部176篇
全部174篇
全部165篇
全部72篇
全部69篇
全部1篇
全部8篇
APP下载