benshenmed(官方) 2024年02月08日
形态学
晚幼红细胞配图

benshenmed(官方) 2024年02月08日
形态学
肾小管上皮细胞管型配图

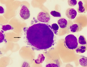
benshenmed(官方) 2024年02月08日
形态学
原始粒细胞配图

benshenmed(官方) 2024年02月08日
形态学
幼稚巨核细胞配图

benshenmed(官方) 2024年02月08日
形态学
早幼粒细胞

benshenmed(官方) 2024年02月08日
实验室质量管理
41S规则

benshenmed(官方) 2024年02月08日
形态学

Rous试验阳性,普鲁士蓝染色
benshenmed(官方) 2023年09月23日
尼曼匹克细胞图片

benshenmed(官方) 2023年09月23日
临床血液学
①骨髓象相似而血象有区别的疾病:溶血性贫血与缺铁性贫血,。
②骨髓象有区别而血象相似的疾病:传染性淋巴细胞增多症与慢性淋巴细胞白血病,慢性粒细胞白血病与类白血病反应。
③骨髓象变化不显著而血象有显著异常的疾病:传染性单核包增多症。
④骨髓象有显著异常而血象变化不显著的疾病:多发性骨髓瘤、戈谢病、尼曼匹克病等。
benshenmed(官方) 2023年08月31日
形态学

细胞内外淋球菌
检验速记关闭
APP下载