benshenmed(官方) 2020年08月20日
形态学 152
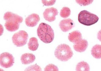
红细胞内结构:卡波环(Cabot ring):RBC胞质中紫红色细线圈状结构,呈环形或8字形
临床意义:恶性贫血、溶血性贫血、铅中毒、白血病、巨幼细胞性贫血、增生性贫血和脾切除后
上一篇 全屏 最小 下一篇
点赞:4 收藏:45 评论:0
上一篇 下一篇
检验速记关闭
全部91篇
全部176篇
全部174篇
全部165篇
全部72篇
全部69篇
全部1篇
全部8篇
APP下载