benshenmed(官方) 2020年08月20日
形态学 153
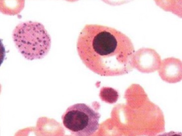
嗜碱性点彩红细胞:胞质内灰蓝色点状颗粒,形态大小不一、多少不等
临床意义:铅中毒、珠蛋白生成障碍性贫血
上一篇 全屏 最小 下一篇
点赞:3 收藏:32 评论:0
上一篇 下一篇
检验速记关闭
全部91篇
全部176篇
全部174篇
全部165篇
全部72篇
全部69篇
全部1篇
全部8篇
APP下载