benshenmed(官方) 2020年08月20日
形态学 162
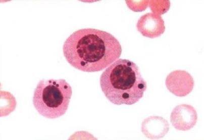
红细胞内结构:豪焦小体(Howell-Jolly)又染色质小体:胞质内含1~2μm的暗紫红色圆形小体。 临床意义:①脾切除、无脾症、脾萎缩、脾功能低下;②红白血病和某些贫血患者;巨幼细胞贫血易见。③溶血性贫血
上一篇 全屏 最小 下一篇
点赞:23 收藏:56 评论:0
上一篇 下一篇
检验速记关闭
全部91篇
全部176篇
全部174篇
全部165篇
全部72篇
全部69篇
全部1篇
全部8篇
APP下载