答题卡15/-9题 正确:
错误:
得分:
分
关闭
重做
1
2
3
4
5
6
7
8
9
10
11
12
13
14
15
APP下载
关闭
提交
取消
笨神医考APP下载
笨神速刷APP下载
首页
view:208人次
未登录
题目15/-9
A.点击查看答案
A
A, :白细胞
题目15/-8
A.点击查看答案
A
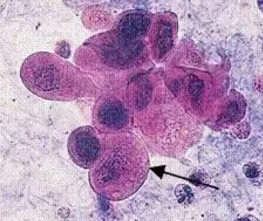
A, :移行上皮癌细胞扁平上皮癌细胞腺癌细胞
题目15/-7
A.点击查看答案
A
A, :扁平上皮细胞(表层)
题目15/-6
A.点击查看答案
A
A, :胱氨酸结晶
题目15/-5
A.点击查看答案
A
A, :蜡样管型
题目15/-4
A.点击查看答案
A
A, :真菌
题目15/-3
A.点击查看答案
A
A, :图片细胞形态不够典型,结果分歧较大,故取消对该图片的 评价。
题目15/-2
A.点击查看答案
A
A, :移行上皮细胞(中层)移行上皮细胞(深层)
题目15/-1
A.点击查看答案
A
A, :脂肪颗粒细胞
题目15/0
A.点击查看答案
A
A, :肾小管上皮细胞
下一页
上一题
答题卡
APP下载
下一题