benshenmed(官方) 2022年03月11日
形态学 115
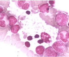
尼曼匹克细胞:该细胞胞体巨大,直径20~90um,圆形、椭圆形或三角形;核偏心较小,1~2个,圆形或椭圆形。胞质丰富,充满泡沫状神经鞘磷脂颗粒,似桑椹状脂肪滴。此种结构使胞质呈泡沫状,故又称“泡沫细胞”。
2021年主管真题专业知识配图
上一篇 全屏 最小 下一篇
点赞:3 收藏:4 评论:0
上一篇 下一篇
检验速记关闭
全部91篇
全部176篇
全部174篇
全部165篇
全部72篇
全部69篇
全部1篇
全部8篇
APP下载