benshenmed(官方) 2022年10月29日
临床血液学 23
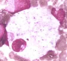
尼曼匹克细胞
胞体大,直径20~90um;胞体圆形、椭圆形或三角形;胞核1-2个;胞质丰富;胞质呈泡沫状或蜂窝状
上一篇 全屏 最小 下一篇
点赞:2 收藏:1 评论:0
上一篇 下一篇
检验速记关闭
全部91篇
全部176篇
全部174篇
全部165篇
全部72篇
全部69篇
全部1篇
全部8篇
APP下载