benshenmed(官方) 2020年11月09日
形态学 125
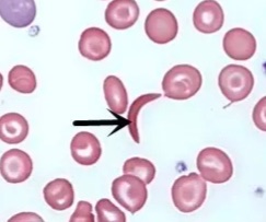
镰形红细胞(2020年检验师真题配图)
上一篇 全屏 最小 下一篇
点赞:2 收藏:10 评论:0
上一篇 下一篇
检验速记关闭
全部91篇
全部176篇
全部174篇
全部165篇
全部72篇
全部69篇
全部1篇
全部8篇
APP下载