benshenmed(官方) 2020年08月20日
形态学 162
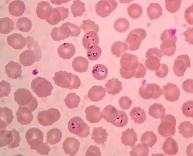
恶性疟原虫环状体: 环纤细,约为红细胞直径的1/5;核1~2个;红细胞内常有2个以上原虫寄生,虫体常位于红细胞边缘
上一篇 全屏 最小 下一篇
点赞:3 收藏:32 评论:0
上一篇 下一篇
检验速记关闭
全部91篇
全部176篇
全部174篇
全部165篇
全部72篇
全部69篇
全部1篇
全部8篇
APP下载