benshenmed(官方) 2020年08月20日
形态学 132
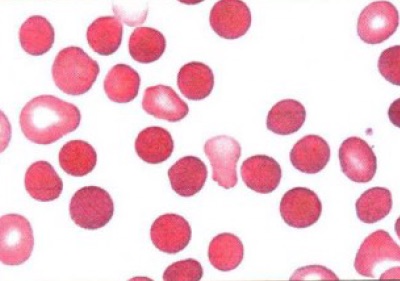
球形红细胞:①遗传性球形细胞增多症(>20%);②自身免疫性溶血性贫血;③异常血红蛋白病( HbS, HbC病)
上一篇 全屏 最小 下一篇
点赞:2 收藏:29 评论:0
上一篇 下一篇
检验速记关闭
全部91篇
全部176篇
全部174篇
全部165篇
全部72篇
全部69篇
全部1篇
全部8篇
APP下载